Recombinant Murine soluble Tumor Necrosis Factor Receptor Type II/TNFRSF1B (rMusTNFRII/TNFRSF1B)
英文全名
Recombinant Murine soluble Tumor Necrosis Factor Receptor Type II/TNFRSF1B (rMusTNFRII/TNFRSF1B)
英文别名
蛋白结构

氨基酸序列
VPAQVVLTPY KPEPGYECQI SQEYYDRKAQ MCCAKCPPGQ YVKHFCNKTS DTVCADCEAS MYTQVWNQFR TCLSCSSSCT TDQVEIRACT KQQNRVCACE AGRYCALKTH SGSCRQCMRL SKCGPGFGVA SSRAPNGNVL CKACAPGTFS DTTSSTDVCR PHRICSILAI PGNASTDAVC APESPTLSAI PRTLYVSQPE PTRSQPLDQE PGPSQTPSIL TSLGSTPIIE QSTKGG
Accession
Gene ID
产品英文概述
来源
分子量
Approximately 25.3 kDa, a single non-glycosylated polypeptide chain containing 236 amino acids.
生物活性
Fully biologically active when compared to standard. The ED50 as determined by its ability to inhibit the TNF-alpha mediated cytotoxicity in the L-929 cells is less than 2 ug/ml, corresponding to a specific activity of > 500 IU/mg in the presence of 0.1 ng/mL of rMuTNF-alpha.
外观
Sterile Filtered White lyophilized (freeze-dried) powder.
配方
Lyophilized from a 0.2 um filtered solution in PBS, pH 7.4.
内毒素
Less than 0.1 EU/ug of rMusTNF RII/TNFRSF1B as determined by LAL method.
溶解说明
We recommend that this vial be briefly centrifuged prior to opening to bring the contents to the bottom. Reconstitute in sterile distilled water or aqueous buffer containing 0.1 % BSA to a concentration of 0.1-1.0 mg/mL. Stock solutions should be apportioned into working aliquots and stored at ≤ -20 °C. Further dilutions should be made in appropriate buffered solutions.
储存条件
Use a manual defrost freezer and avoid repeated freeze-thaw cycles.- 12 months from date of receipt, -20 to -70 °C as supplied.- 1 month, 2 to 8 °C under sterile conditions after reconstitution.- 3 months, -20 to -70 °C under sterile conditions after reconstitution.
参考资料
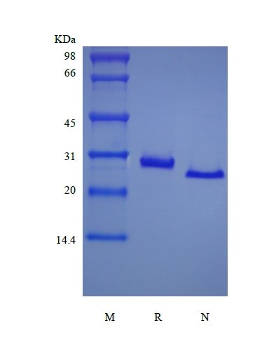
纯度
> 97 % by SDS-PAGE and HPLC analyses.
SDS-PAGE电泳

包装规格
5ug/100ug/500ug
安全数据表下载 (SDS)
技术参数表下载 (TDS)
品牌链接
Recombinant Murine soluble Tumor Necrosis Factor Receptor Type II/TNFRSF1B是ChemWhat品牌授权产品并通过hth华体育app官网登录销售,下面是ChemWhat上的该产品链接 Recombinant Murine soluble Tumor Necrosis Factor Receptor Type II/TNFRSF1B (rMusTNFRII/TNFRSF1B)



