Recombinant Human Fatty-acid-binding Protein 6 (rHuFABP6)
英文全名
Recombinant Human Fatty-acid-binding Protein 6 (rHuFABP6)
英文别名
蛋白结构

氨基酸序列
AFTGKFEMES EKNYDEFMKL LGISSDVIEK ARNFKIVTEV QQDGQDFTWS QHYSGGHTMT NKFTVGKESN IQTMGGKTFK ATVQMEGGKL VVNFPNYHQT SEIVGDKLVE VSTIGGVTYE RVSKRLA
Accession
Gene ID
产品英文概述
来源
分子量
Approximately 14.2 kDa, a single non-glycosylated polypeptide chain containing 127 amino acids.
生物活性
No data available.
外观
Sterile Filtered White lyophilized (freeze-dried) powder.
配方
Lyophilized from a 0.2 um filtered concentrated solution in PBS, pH 7.4, 5 % trehalose.
内毒素
Less than 0.1 EU/ug of rHuFABP6 as determined by LAL method.
溶解说明
We recommend that this vial be briefly centrifuged prior to opening to bring the contents to the bottom. Reconstitute in sterile distilled water or aqueous buffer containing 0.1 % BSA to a concentration of 0.1-1.0 mg/mL. Stock solutions should be apportioned into working aliquots and stored at ≤ -20 °C. Further dilutions should be made in appropriate buffered solutions.
储存条件
Use a manual defrost freezer and avoid repeated freeze-thaw cycles.- 12 months from date of receipt, -20 to -70 °C as supplied.- 1 month, 2 to 8 °C under sterile conditions after reconstitution.- 3 months, -20 to -70 °C under sterile conditions after reconstitution.
参考资料
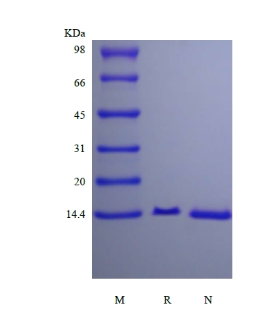
纯度
> 97 % by SDS-PAGE and HPLC analyses.
SDS-PAGE电泳

包装规格
5ug/100ug/500ug
安全数据表下载 (SDS)
技术参数表下载 (TDS)
品牌链接
Recombinant Human Fatty-acid-binding Protein 6是ChemWhat品牌授权产品并通过hth华体育app官网登录销售,下面是ChemWhat上的该产品链接 Recombinant Human Fatty-acid-binding Protein 6 (rHuFABP6)


